Leniik
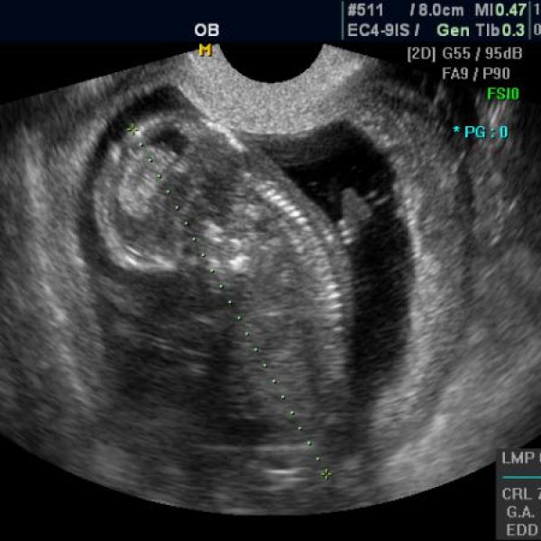
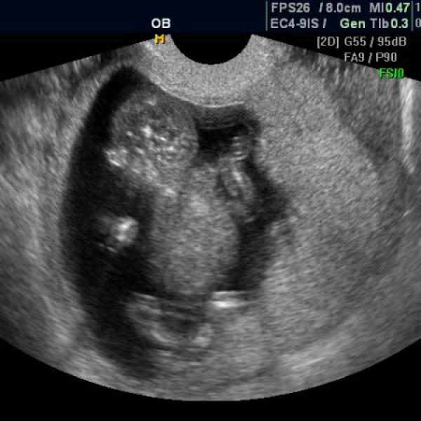
tak jsme dneska absolvovali NT screening...... byla jsem z toho docela vystrašená, ale nakonec vše dobře dopadlo. Celkové riziko nám vyšlo 1 / 13 100 takže radost veliká...
Komentáře jsou momentálně nedostupné. Děkujeme za pochopení.
tak takhle vypadám ve 13tt ........ mno... mě to spíš přijde jen jako špeky, ale na večer je bříško o dost větší.. ráno mi přijde malinké ..... co myslíte? (před těhu 55kg a teď 58kg .. ) mám ale jen 58cm ...... :-(
+ ještě přikládám utz ze 10tt
Komentáře jsou momentálně nedostupné. Děkujeme za pochopení.





















